





2021年11月14日星期日,復旦大學附屬中山醫院(以下簡稱中山醫院)葛均波院士團隊成功應用經血管介入三尖瓣置換產品Lux-Valve Plus完成臨床前研究,并獲得圓滿成功!此次研究的成功預示經血管三尖瓣產品Lux-Valve Plus已完成臨床前準備,即將開啟后期的正式臨床研究!

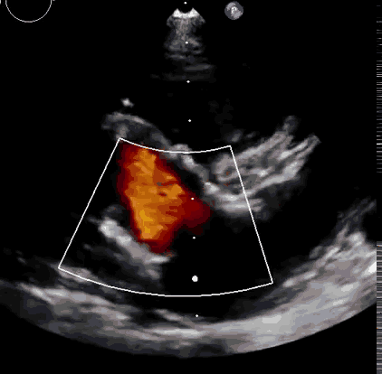
上海中山醫院葛均波院士、錢菊英院長、周達新教授、潘文志教授、潘翠珍教授、李偉教授共同完成此次臨床前研究。術后葛均波院士對Lux-Valve Plus的器械操作性能給予了高度評價,DSA和超聲影像也顯示出在本次研究中Lux-Valve Plus的安全性和有效性俱佳。

本次臨床前研究經右側頸靜脈置入LuX-Valve Plus輸送系統可調彎鞘管,在DSA及超聲引導下將人工三尖瓣瓣膜植入到原有三尖瓣位置,利用獨特的錨定技術將人工瓣膜支架可靠固定在預定的位置。



此次研究的成功預示經血管三尖瓣產品Lux-Valve Plus已完成臨床前準備,即將開啟后期的正式臨床研究!


Lux-Valve是全球第一款具有我國完全自主知識產權的經導管介入三尖瓣置換系統,利用前瓣夾持及室間隔錨定的復合方式進行瓣膜裝置的固定,不依賴瓣環徑向支撐力,同時采用自適應復合裙邊材料,有效的貼合密封柔軟的三尖瓣瓣環,針對于三尖瓣返流的患者有優異的療效。Lux-Valve Plus采用全新的經血管輸送系統,經頸靜脈入路創傷更小,可以進一步降低手術風險。相信在后期正式臨床研究開展中,Lux-Valve Plus必定會為更多的三尖瓣反流患者帶來福音。