





近期,通遼市人民醫院在中國醫學科學院阜外醫院潘湘斌院長團隊的指導下,由王旭主任、邵志遠主任團隊,在全超聲、無射線條件下,成功完成內蒙古自治區首例純超聲引導下經導管主動脈瓣置換術,這也是通遼地區首例經心尖路徑實施的TAVR手術。
該手術在不依賴X線透視的情況下完成,對術者的影像判斷與操作協同提出了更高要求,標志著通遼市人民醫院在結構性心臟病微創介入治療及超聲引導技術應用方面取得了重要突破。
在充分的術前評估和個體化方案指導下,手術過程順利,術中血流動力學穩定,術后主動脈瓣反流得到有效糾正,為解剖結構復雜、傳統外科手術風險較高的主動脈瓣反流患者提供了安全、可行的微創治療新選擇。
患者基線
患者男性,主訴陣發性胸悶、心悸1年,加重6個月。患者1年前無明顯誘因出現陣發性胸悶、心悸癥狀,每次持續約10分鐘后緩解;6個月前癥狀加重,伴肩背部疼痛,每次持續約10–20分鐘后緩解。20天前于門診就診,心臟彩超提示主動脈瓣鈣化伴大量反流。近日患者再次出現胸悶、氣短癥狀,為進一步治療入院。既往史包括高血壓病史4年、陳舊性腦梗死、膽囊切除術后1年。入院診斷為:主動脈瓣重度關閉不全,高血壓3級(極高危),冠狀動脈粥樣硬化性心臟病。心臟彩超檢查提示:主動脈瓣鈣化,右冠瓣脫垂伴重度關閉不全,主動脈瓣口血流速度增快,合并輕度二尖瓣及三尖瓣反流。冠狀動脈造影檢查結果示:左主干正常,前降支未見狹窄病變,回旋支散在斑塊,右冠狀動脈未見狹窄病變。
術前評估
術前CT評估提示,患者主動脈瓣三葉瓣,瓣葉增厚,舒張期右冠瓣脫垂,右冠瓣瓣葉輕度鈣化,存在三個瓣竇,分布較均勻;主動脈瓣環周長折算直徑28.0mm;左心室流出道周長折算直徑29.5mm,無鈣化,無狹窄;STJ直徑35.3mm,升主動脈直徑41.8mm;雙側冠脈開口高度可LCA13.5mm ,瓣葉長17.2mm;RCA33.9mm,瓣葉長10.0mm;側左冠脈輕度鈣化;橫位心,左室主動脈夾角為135°;






術中回顧
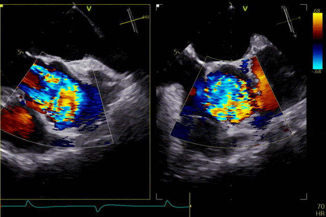
在超聲引導下,手術團隊高效精準地完成了瓣膜的定位、釋放與功能評估。手術過程順利,夾持件入竇與定位一氣呵成,三枚夾持件的釋放與錨定位置與術前評估完全一致,器械操作時間約5分鐘。術中超聲評估顯示無瓣周漏,血流動力學表現穩定,手術過程順利。
術前超聲
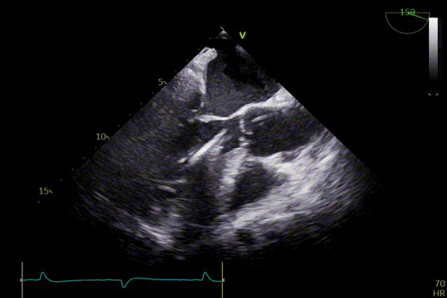
輸送器跨瓣
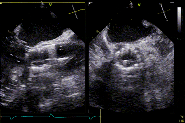
打開定位件
定位件入竇
瓣膜釋放
術后效果
患者主動脈瓣重度反流糾正,術后無反流、無瓣周漏。術后心臟彩超顯示人工生物瓣啟閉良好,平均跨瓣壓差2mmHg,流速正常。患者恢復情況良好,心功能較術前有了明顯改善。
總結
Ken-Valve是一款專為主動脈瓣關閉不全(或合并狹窄)患者設計的TAVR產品,其多規格設計以及大規格尺寸優勢,能覆蓋從23mm到33mm的瓣膜尺寸,填補了大瓣環反流患者治療中的產品空白。Ken-Valve在設計上融合了多項關鍵技術,其一體式夾持定位件設計能提供穩定可靠的錨定力,有助于在無鈣化或鈣化不足的解剖條件下實現安全固定;防漏環設計則有望降低術后瓣周漏的發生率。值得一提的是,Ken-Valve采用的獨特專利抗鈣化技術處理的牛心包瓣葉在生物相容性和機械強度方面表現優異,具備良好的耐久性。此外,可調彎輸送系統也能夠滿足更加復雜的入路要求,確保瓣膜準確釋放。
通遼市人民醫院首例全超聲、無射線條件下經導管主動脈瓣反流介入手術的成功完成,不僅為復雜主動脈瓣反流患者提供了安全、有效的微創治療新選擇,也標志著該院在結構性心臟病介入治療及超聲引導技術應用方面邁上了新的臺階。
在傳統心血管介入治療中,放射線和造影劑的依賴性帶來了諸如醫源性損傷、技術門檻高、空間成像信息受限以及對大型設備依賴強等問題。為改善上述局限,阜外醫院結構性心臟病團隊歷經多年探索,構建了以“可視化、定位、定向”為核心的純超聲引導介入治療技術體系——PAN術式。PAN術式的應用不僅減少了射線暴露和造影劑相關的風險,也讓介入治療從“重設備、重依賴”向“輕介入、更普惠”轉變。通過流程優化與技術集成,該技術可在無需大型影像設備的環境下開展復雜介入操作,為提升治療安全性、擴大可及性、促進基層能力建設提供了新的路徑。
聲明
本文披露內容僅作為學術交流之目的,在任何情況下均不得被視為醫療建議。我司對所有原創、轉載、分享的內容的準確性、完整性或時效性不做任何陳述或保證。
文中所涉數據僅供參考,不能視為建議或推薦,以及要約或邀請。本材料以公開信息、內部開發的數據和來自其它具有可信度的第三方的信息為基礎。但是,并不保證這些信息的完全可靠。所有的觀點和看法基于材料撰寫當日的判斷,并隨時有可能在不予通知的情況下進行調整。
本文提及的任何醫療器械,我司不對其在診療活動中的性能、臨床表現等做任何承諾及保證。