





2021年7月5日,由空軍軍醫大學西京醫院心血管外科劉洋、楊劍教授團隊成功完成了健世科技經導管主動脈瓣置換系統(Ken-Valve®)確證性臨床研究西北地區的首例入組,手術的圓滿成功再次充分展示了Ken-Valve®的安全性和有效性。

患者基本信息
該例患者為62歲,女性,因“間歇性心悸、胸悶、氣短、胸痛1年,加重1周”之主訴入院。入院診斷:主動脈瓣重度關閉不全,二尖瓣、三尖瓣輕度關閉不全,心功能III級;冠狀動脈粥樣硬化性心臟病。行心臟超聲心動圖提示“主動脈瓣重度關閉不全;瓣口水平以下左室下壁、后下壁搏幅減低;EF值 0.30,左房、左室大、右房大小正常高限;二尖瓣、三尖瓣關閉不全;輕度肺動脈高壓(收縮壓42mmHg);主動脈硬化;左室收縮功能重度減低。經心血管外科劉洋、楊劍教授、麻醉科陳敏教授及超聲科孟欣教授等專家團隊綜合評估,判定患者為外科手術高危患者。
手術過程
手術采用經心尖入路,對患者進行全麻后,在左側心尖處做3-4cm微創手術切口,在DSA及超聲引導下手術順利完成。從導入器械到完成瓣膜置入,僅耗時約10分鐘。術后即刻主動脈瓣返流程度由術前大量返流轉為消失,患者于導管室拔除氣管插管,次日由ICU轉入普通病房。

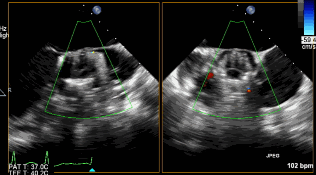
術前超聲影像圖

術前DSA影像圖

術中釋放定位鍵后DSA影像圖

術中瓣膜釋放過程

術后超聲影像圖

術后DSA影像
此次手術是Ken-Valve®經導管主動脈瓣置換系統首次在西北地區臨床應用,手術的成功標志著在該區域主動脈瓣疾病的治療手段更加的多樣化,為重度主動脈瓣返流患者提供更多的治療選擇。
目前,健世科技已成功與長海醫院、北京阜外醫院、西京醫院、武漢協和醫院、北京安貞醫院、四川大學華西醫院、上海瑞金醫院、福建協和醫院、浙江大學醫學院附屬第一醫院等多家知名醫療機構合作,開展Ken-Valve®確證性臨床研究,為廣大主動脈瓣返流心臟病患者提供優質解決方案!