





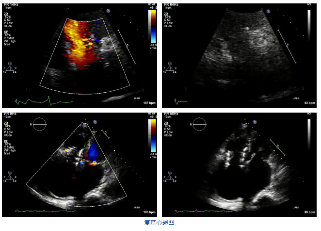
2021年12月7日,復旦大學附屬中山醫院葛均波院士團隊完成的首批兩例LuX-Valve Plus經血管三尖瓣置換患者順利出院,從患者入院至出院僅歷時一周時間,出院時患者狀態恢復良好,復查心超三尖瓣無反流。

周達新教授與一名患者合影
兩例患者是都是外科手術高危的極重度三尖瓣反流的老年女性,反復下肢水腫、腹脹、納差,活動耐力減退。一例患者風濕性心臟病,二尖瓣生物瓣置換術后,房顫,心超顯示三尖瓣極重度反流(最大反流寬度15mm);另一例患者房顫,心超示三尖瓣極重度反流(最大反流寬度23mm)。
兩例患者入院后,葛均波院士及其團隊周達新教授、潘文志教授、張源博士、陳莎莎博士及心超室的潘翠珍教授、李偉教授對患者的情況進行了詳細討論和評估,決定采用LuX-Valve Plus經血管三尖瓣置換系統為患者進行手術治療。

結合術前CT評估結果,葛均波院士團隊最終決定選用LuX-Valve Plus 50mm和55mm兩種型號的瓣膜,并于2021年11月30日順利完成LuX-Valve Plus經血管三尖瓣置換術,手術室即刻拔除氣管插管,術后第二天轉出心內科監護室,下床活動。術后患者三尖瓣反流癥狀得到顯著改善,復查心超結果顯示人工三尖瓣瓣膜支架固定穩定,瓣葉關閉形態未見異常,未見明顯反流。


LuX-Valve是一種非徑向支撐力原位經血管三尖瓣置換裝置。相較于傳統的依賴徑向支撐力的器械相比,LuX-Valve的錨定方式能更好地適應三尖瓣組織菲薄脆弱的特性,瓣膜選擇大小可基于有效的三尖瓣孔面積,而不是擴張的三尖瓣環。在LuX-Valve獨具優勢的基礎上,LuX-Valve Plus對輸送系統進行了全面升級,實現了經頸靜脈入路,進一步減少了手術創傷和風險。
葛均波院士寄語

在本次救治性臨床研究中,治療的兩例患者病因不同,解剖結構復雜,均為極重度三尖瓣反流,手術最終都順利植入了LuX-Valve Plus三尖瓣人工瓣膜。術后超聲顯示瓣膜支架固定穩定,反流癥狀顯著改善,取得了良好臨床治療效果。
LuX-Valve Plus是LuX-Valve的第二代產品,術者通過頸靜脈入路將三尖瓣人工瓣膜植入人體,術后即刻拔除氣管插管,術后第二天即可下床活動。這種術式對患者的身體損耗小,術后恢復快,相信今后將造福更多的三尖瓣反流患者,尤其是無法耐受外科開胸手術的高危患者。本次救治性臨床研究已初步驗證LuX-Valve Plus經血管入路治療極重度三尖瓣反流的患者的可行性和安全性,我們也期待后期的正式臨床研究開展展示更可靠的結果。
周達新教授寄語

一直以來,三尖瓣瓣膜被稱為“被遺忘的瓣膜”。實際上,三尖瓣反流是一種常見的心臟瓣膜疾病,嚴重的三尖瓣反流患者臨床預后差,對患者的生活造成了極大的不便。并且國內的老年人群患病數量被嚴重低估,因此,有效治療三尖瓣反流一直是廣大醫生同道關心的熱點問題。
LuX-Valve Plus是一款經血管介入的三尖瓣瓣膜置換系統,在本次救治性的臨床研究中“表現出色”,兩例患者的極重度三尖瓣反流顯著改善,術后恢復很快,短短一周時間即可出院,治療效果及康復速度令人滿意。相信今后LuX-Valve Plus將會為更多的三尖瓣反流患者帶來臨床獲益,也期待后期多中心臨床研究的開展,為經血管三尖瓣置換領域的循證“添磚加瓦”!