





近日,健世科技(9877.HK)的全資子公司寧波迪創醫療科技有限公司(“迪創醫療”)自主研發和生產的PFO(patent foramen ovale,卵圓孔未閉)封堵器系統OmniSeal成功完成一例經皮卵圓孔未閉介入封堵術,術后封堵效果良好,無不良事件發生。本次植入手術是OmniSeal的首例臨床應用,由寧波大學附屬第一醫院儲慧民教授帶領團隊完成,并從臨床專業角度給予了悉心的指導。

儲慧民教授團隊為患者進行經皮卵圓孔未閉封堵術
在本次植入手術中,接受介入封堵術的是一名卵圓孔未閉(長隧道型)的患者。患者60歲,男性,7年前曾診斷腦梗死,此次因新發腦梗死入院,無房顫及頸動脈狹窄;經胸心臟超聲和心臟聲學造影檢查提示卵圓孔未閉,Valsalva動作后心房水平大量右向左分流。經儲慧民教授團隊評估,結合相關病史并考慮PFO及不明原因卒中,遂決定對患者開展經皮PFO封堵術。
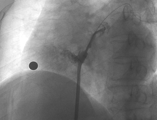
術中造影顯示患者為PFO且長隧道型,目前市場上已商業化的PFO封堵器難以滿足該患者解剖結構封堵需求。迪創醫療自主研發的OmniSeal PFO封堵器自適應性雙盤貼合設計能廣泛適應不同PFO隧道長度的解剖結構和形態,其雙盤外包覆式阻流和隧道內填充阻流相結合的雙重阻流設計,可為此患者實現有效封堵。與此同時,OmniSeal首創的完全可穿刺式設計,也為此患者最大程度地保留了房間隔區域穿刺通道,以實現全兼容未來可能的左心系統二次介入術。術終造影和心臟超聲顯示封堵完全、效果良好。作為OmniSeal的首例臨床應用,本次手術的順利完成和優異效果充分體現了產品的設計創新優勢。

造影顯示長隧道型PFO

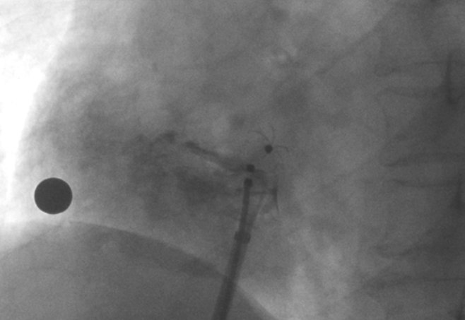
造影顯示PFO封堵完全,無殘余分流, 試驗器械充分舒展并貼合良好

影像顯示試驗器械適應性貼合于房間隔兩側且穩定
PFO是成年人最為常見的先天性心臟病之一,一般認為在成年人發病率約25%【1-3】。目前普遍認為,PFO是反常性栓塞的病理解剖學基礎。越來越多的研究發現,存在PFO的人群發生腦卒中、偏頭痛等風險較正常人群呈數倍升高,而腦卒中、偏頭痛等人群的PFO發生率也高于一般人群。經皮介入封堵卵圓孔已被相關指南文件推薦用來預防腦卒中事件復發、減輕偏頭痛發作等。
迪創醫療自主研發的OmniSeal PFO封堵器系統具有多項創新設計和技術優勢,并且對于目前市場商業化產品的多個臨床痛點問題,如難以開展左心系統二次微創介入手術、術后新發心房顫動、殘余分流、血栓形成等器械相關的限制和并發癥等,提供了針對性的解決方案。OmniSeal PFO封堵器系統獨創的完全可穿刺式設計,能實現全兼容左心系統二次介入術。其較高的適應性使得產品可以適應不同卵圓孔未閉解剖學結構和形態,并減少對房間隔的刺激, 降低術后心律失常事件。同時,雙盤外包覆式阻流和隧道內填充阻流相結合的創新結構在確保有效封堵的情況下,減少殘余分流,降低血栓形成。
本次首例臨床應用植入手術成功達到預期效果,不僅驗證了產品的安全性、有效性和設計創新優勢,更標志著OmniSeal PFO封堵器系統產品正式邁入新階段。此外,這是繼迪創醫療自主研發的左心耳封堵器系統SimuLock、房間隔造孔支架系統MicroFlux后,第三款進入到臨床階段的創新產品。健世科技將攜子公司持續針對結構性心臟病開發創新的產品,為全球廣大的結構性心臟病患者提供完整的解決方案。
介紹
迪創醫療是健世科技的全資子公司,專注于心衰、心源性卒中等結構性心臟病微創介入防護及治療,堅持自主研發、解決臨床痛點,力求開發一系列具有核心自主知識產權的國際創新型醫療器械產品。
參考文獻
1. 中華醫學會心血管病學分會,中國醫師協會心血管內科分會. 卵圓孔未閉預防性封堵術中國專家共識[J]. 中國循環雜志.2017,32(3):209-214.
2. Hoffman JIE, Kaplan S. The incidence of congenital heart disease. J Am Coll Cardiol, 2002, 39: 1890-1900.
3. Hagen PT, Scholz DG, Edwards WD. Incidence and size of patent foramen ovale during the first 10 decades of life: an autopsy study of 965 normal hearts. Mayo Clin Proc, 1984, 59: 17-20.
聲明
本文披露內容僅作為學術交流之目的,在任何情況下均不得被視為醫療建議。我司對所有原創、轉載、分享的內容的準確性、完整性或時效性不做任何陳述或保證。 文中所涉數據僅供參考,不能視為建議或推薦,以及要約或邀請。本材料以公開信息、內部開發的數據和來自其它具有可信度的第三方的信息為基礎。但是,并不保證這些信息的完全可靠。所有的觀點和看法基于材料撰寫當日的判斷,并隨時有可能在不予通知的情況下進行調整。 本文提及的任何醫療器械,我司不對其在診療活動中的性能、臨床表現等做任何承諾及保證。