





一花獨放不是春,百花齊放春滿園,一衣帶水,一路相“瓣”,海峽兩岸,共聚成長。臺北瓣膜高峰論壇(2024 Taipei Valve Summit)于北京時間6月7日至6月9日在美麗寶島中國臺灣隆重開幕。本次大會在殷偉賢教授、葛均波院士的共同努力下,旨在推動兩岸學術發展共融,并為中國廣大的心血管介入領域醫師提供一個獨特的交流平臺,從而實現結構性心臟病介入技術和心臟影像學的持續進步。來自兩岸三地的頂尖術者相會一堂,聚焦全球結構性心臟病領域最新動態,思維的碰撞,點燃兩岸學術的燎原之火,一場國際化、創新性的學術盛宴就此開場。
未來已來,大道如砥
LuX-Valve Plus在三尖瓣返流介入治療中的應用
6月8日,本屆大會秉承創新引領的學術宗旨,特設三尖瓣結構論壇,邀請多家中心的頂尖術者及手術團隊,針對三尖瓣返流的介入治療方案與未來發展,結合全球層面三尖瓣返流介入治療器械的嘗試與探索,展開了多維度、深層次的討論交流。
本次論壇,來自復旦大學附屬中山醫院的魏來教授,攜手LuX-Valve Plus經頸靜脈三尖瓣介入置換系統,發表“How Would I Treat TR?”專題演講,引起了在座學者的廣泛討論。
三尖瓣返流介入治療的臨床挑戰
長久以來,隨著學術領域對于三尖瓣返流認知的加深,從解剖學到影像學,從傳統藥物治療到外科手術治療,針對三尖瓣返流的微創介入技術一直是學界關注的熱點話題之一。結合三尖瓣返流所并發的右心系統結構改變,魏來教授首先闡述了現有介入手術器械在不同解剖條件及不同疾病發展進程中所面臨的挑戰。作為現有的三尖瓣返流介入治療方案,三尖瓣TEER療法往往受限于三尖瓣返流所帶來的特殊解剖變異,如瓣環擴張、瓣葉裂隙過大等。

TTVR器械創新帶來新的機遇
魏來教授表示,隨著療法的演變,介入術者應該在術前更多的思考如何根據患者解剖學特點,選擇更為合適的手術器械。三尖瓣介入置換器械不斷迭代,目前全球市場已有以LuX-Valve Plus(健世科技,中國)及EVOQUE(愛德華,美國)為代表的經血管三尖瓣介入置換系統,并逐漸成為三尖瓣返流的一線治療方案。但同樣的,三尖瓣介入置換(TTVR)技術,也受血管入路條件、右心房解剖大小、起搏器導線占位等因素的制約。

2022年,隨著復旦大學附屬中山醫院的葛均波院士牽頭完成FIM研究并將結果發表于國際頂級期刊《Eurointervention》,LuX-Valve Plus獲得國內外的廣泛關注。有別于傳統經股靜脈入路三尖瓣介入手術器械,LuX-Valve Plus創新性采用經頸靜脈作為手術主入路,可將人工瓣膜快速送達目標手術區域,整體輸送行程較短,有效降低入路周邊解剖組織并發癥及術中出血風險。同時,魏來教授表示,LuX-Valve Plus輸送系統所具有的聯動調彎功能,面對右心房較小的患者,可在進入右心房后快速進行調彎遞送,從容調整,快速同軸,降低手術整體風險并安全進行手術。

基于此,魏來教授總結道,LuX-Valve Plus已成為外科高危風險患者解決三尖瓣返流的有效選擇,并且LuX-Valve Plus所特有的室間隔錨定裝置及瓣葉夾持設計,可形成多維度錨定結構并減少向周邊組織施加過度的徑向壓力,從而避免傳導阻滯的發生。針對臨床常見的三尖瓣返流合并起搏器植入病史,LuX-Valve Plus憑借其獨家的自適應編織環技術,在避免起搏器導線移位的情況下,可柔軟的覆蓋心房側結構,有效減少瓣周漏的發生。這也再一次表明,LuX-Valve Plus提供了全新、有效、安全的臨床解決方案。

馳而不息,蔚然成林
LuX-Valve Plus手術直播
作為本屆Taipei Valve Summit的重磅日程,三尖瓣論壇聚焦前沿學術動態,推動三尖瓣介入診療發展,兼顧理論與實操,全方位地向世界學者展現了中國術者在三尖瓣返流介入治療中的先進理念。
來自上海市第一人民醫院的陸方林教授采用LuX-Valve Plus成功完成一例高挑戰性的經頸靜脈入路三尖瓣介入置換手術,并引發熱烈討論。
CASE REVIEW
經過術前討論,患者為重度三尖瓣返流,基礎情況差,外科高危風險,右心房容積明顯增大,三尖瓣瓣環顯著擴張,經術前CT測量,三尖瓣瓣環最大徑53.9mm,周長平均徑49mm,推薦經頸靜脈行三尖瓣置換術,推薦使用JS/TTVI-30-55瓣膜。
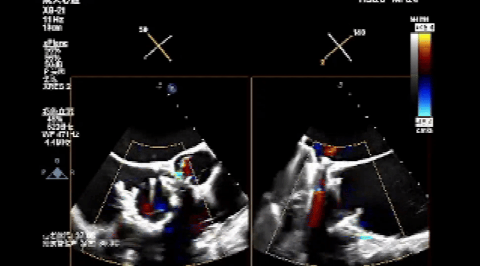
術前心臟超聲提示:三尖瓣大量返流,右心房容積明顯增大,三尖瓣瓣環顯著擴張。

術前CT測量:三尖瓣瓣環最大徑53.9mm,周長平均徑49mm,瓣環顯著擴張。


術中DSA所見:經LuX-Valve Plus輸送器系統五向調整,人工瓣膜同軸良好,夾持件均在瓣葉下。

術后心臟超聲提示:Lux-Valve Plus植入術后,三尖瓣瓣環處可見人工瓣膜回聲,未見返流,人工瓣膜穩定,瓣葉開閉良好,連續多普勒估測三尖瓣平均跨瓣壓差僅為1mmHg。

陸方林教授通過手術向與會的聽眾展現LuX-Valve Plus在三尖瓣返流伴外科高風險病例中的成功應用,術中對LuX-Valve Plus表示充分信賴,在確證性臨床實驗入組及全球救治性臨床中均呈現了良好的安全性與有效性,尤其在瓣環擴張病例中,其多種尺寸選擇有效解決大瓣環心房側封堵的難題,KCCQ及NYHA均得到提升,植入后呈現明顯的右心系統重塑獲益,患者的生活質量得到顯著改善。
結“瓣”同行,未來可期。
本屆Taipei Valve Summit立足創新理論,以全面發展為宗旨,為海峽兩岸及全球學術同道呈現了一場酣暢淋漓的學術盛宴。
青矜之志,無遠弗屆。
健世科技始終致力于成為全球結構性心臟病解決方案的引領者,臻于心道,為生命續航。
聲明
本文披露內容僅作為學術交流之目的,在任何情況下均不得被視為醫療建議。我司對所有原創、轉載、分享的內容的準確性、完整性或時效性不做任何陳述或保證。
文中所涉數據僅供參考,不能視為建議或推薦,以及要約或邀請。本材料以公開信息、內部開發的數據和來自其它具有可信度的第三方的信息為基礎。但是,并不保證這些信息的完全可靠。所有的觀點和看法基于材料撰寫當日的判斷,并隨時有可能在不予通知的情況下進行調整。
本文提及的任何醫療器械,我司不對其在診療活動中的性能、臨床表現等做任何承諾及保證。
